Бесчелюстные — очень древняя группа позвоночных животных, представленная в современном мире миногами и миксинами. Последние имеют много загадочных признаков. В частности, долго считалось, что у миксин нет позвоночника, а есть только хорда, примерно как у ланцетника. Из-за этого некоторые зоологи даже отказывались считать миксин позвоночными. Однако новые эмбриологические исследования показали, что, во всяком случае, у некоторых видов миксин позвоночник всё-таки есть — правда, очень необычно устроенный.
Миксина — одно из самых странных позвоночных животных. Это червеобразное существо с крошечными глазами, единственной ноздрей и несколькими щупальцами вокруг рта. Конечностей у миксины нет, если не считать хвостового плавника. Ее сложный ротовой аппарат совершенно не похож на рыбьи челюсти: миксина, как и минога, относится к бесчелюстным. Общий вид миксины настолько необычен для позвоночного, что основатель биологической систематики Карл Линней относил ее к классу червей (Vermes), причем внутри этого класса — к той группе, в которую вошли дождевые черви, пиявки и аскариды. В дальнейшем быстро выяснилось, что головной мозг, череп, органы чувств, кровеносная система и почки у миксины устроены как у самого настоящего позвоночного, — здесь никаких сомнений нет. Сейчас известно более 70 видов миксин. Живут они исключительно в морях, питаются донными беспозвоночными или рыбой (чаще мертвой, но иногда и живой).
Один из парадоксов, связанных с миксиной, состоит в том, что, хотя она и относится к позвоночным, у нее нет позвоночника. По крайней мере, его долгое время не удавалось обнаружить. Осевой скелет миксины — хорда, или спинная струна, имеющаяся у всех хордовых животных: например, у ланцетника, который к позвоночным не относится. У позвоночных рядом с хордой появляются хрящевые элементы, которые, собственно, и называются позвонками. У высших позвоночных они становятся костными и вообще вытесняют хорду. Но у миксины никаких позвонков не нашли, хотя у другого бесчелюстного — миноги — они есть. Известнейший американский палеонтолог Альфред Ромер (Alfred Sherwood Romer) писал, что «миксину можно называть позвоночным только из вежливости».
Обдумывание этого факта привело французского палеонтолога Филиппа Жанвье (Philippe Janvier) к так называемой «краниатной теории», согласно которой в эволюционной линии позвоночных сначала появился череп и только потом — позвонки. Жанвье предположил, что миксины представляют собой раннюю веточку этой линии, обособившуюся еще до возникновения позвонков. Если так, то миксины — черепные, но не позвоночные.
Правда, отдельные исследователи еще более ста лет назад сообщали, что какие-то намеки на позвонки им у миксин всё же удалось найти. Но проверка этих сообщений требовала тонких исследований, желательно эмбриологических, то есть затрагивающих развитие миксины в яйце и после вылупления. А тут возникло препятствие: выяснилось, что миксин практически невозможно разводить в неволе. И в результате до самого XXI века про эмбриологию миксин было известно очень мало.
Прорыв в этой области произошел в Японии. В этой стране традиционно хорошо развита морская зоология, включая и исследования миног и миксин. Неудивительно, что Филипп Жанвье (тот самый, который сформулировал «краниатную теорию») обратился именно к японцам с предложением выяснить: есть все-таки у миксин позвонки или нет? Предложение приняла лаборатория эволюционной морфологии Центра биологии развития в городе Кобэ (Laboratory for Evolutionary Morphology, Center for Developmental Biology, RIKEN). В 2004 году руководитель этой лаборатории Сигеру Куратани (Shigeru Kuratani) предложил сотруднику по имени Кинья Ота (Kinya Ota) труднейшую задачу: вывести в лаборатории миксин из яиц.
Ота прекрасно знал, что никому из предыдущих исследователей это не удалось, и понимал, что рискует потратить несколько лет, не получив вообще никакого результата. Тем не менее он стал пытаться, благо наловить в Японском море миксин было не так уж сложно, и выяснил очень неожиданную вещь. Оказывается, от оплодотворения до момента, когда дробление яйца становится заметным, у миксины проходят не считанные часы или сутки (как у большинства позвоночных), а примерно четыре месяца. Ни у кого из биологов, работавших с миксиной раньше, просто не хватало терпения столько ждать: они каждый раз приходили к выводу, что яйца — неоплодотворенные, и выбрасывали их, не доведя наблюдение до конца.
Научившись разводить миксин, японцы наконец начали свои эмбриологические исследования. Тут-то и выяснилось, что у изучаемого вида миксин — это был японский пиявкорот Eptatretus burgeri (рис. 1) — рядом с хордой вполне наличествует хрящевая ткань, расположенная так, как должны быть расположены элементы позвонков. Как и принято в современной биологии, это было проверено исследованиями продуктов генов. Результат проверки был положительным: в найденных у пиявкорота структурах, похожих на позвонки, синтезируются как раз те белки, которые характерны у позвоночных для межклеточного вещества хряща.
Итак, позвонки у миксин всё-таки есть. Но, как это часто бывает, сделанное открытие сразу породило новые вопросы. Потому что позвонки миксины — очень необычные.
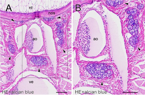
Чтобы понять, чем они необычны, представим себе расположение осевых органов в теле хордового животного. Вдоль всей спины там тянется хорда (она состоит не из хряща, а из особой ткани, в других органах не встречающейся). Над хордой проходит нервная трубка — спинной мозг, у позвоночных переходящий в головной. Под хордой — один из главных кровеносных сосудов, спинная аорта. У примитивных позвоночных элементов позвонков в каждом сегменте несколько. Это дорсальные дуги, расположенные над хордой, по бокам от нервной трубки, и вентральные дуги, расположенные под хордой, по бокам от спинной аорты. У рыб есть и те и другие. У миноги есть только дорсальные дуги. А у миксины — только вентральные, связанные со спинной аортой (рис. 2). Спинной мозг у нее позвонками не прикрыт. Это единственное животное, имеющее такой состав позвоночника. Более того, у японского пиявкорота обнаружен еще и дополнительный элемент позвонка: крупный непарный хрящ, расположенный под спинной аортой. Этот хрящ у миксин, видимо, вообще уникален. Ни у одного другого позвоночного его нет — во всяком случае, во взрослом состоянии.
Рис. 2. Поперечный срез тела взрослого пиявкорота, область под хордой. На рис. B вынесен фрагмент рис. A, обведенный рамкой. nt — хорда, nos — оболочка хорды, ao — спинная аорта, ve — задняя кардинальная вена. Стрелочки указывают на хрящевые элементы. Самая нижняя стрелочка указывает на уникальный непарный хрящ, расположенный под спинной аортой. Интересно, что этот хрящ, отсутствующий у других позвоночных, у миксины является самым крупным элементом позвонка. Иллюстрация из обсуждаемой статьи в Journal of Experimental Zoology
С другой стороны, даже такие позвонки найдены у пиявкорота только в хвостовом отделе тела. Впереди от анального отверстия (точнее, от клоаки) их нет. Возможно, это как-то связано с тем, что хвост является у водных позвоночных главным органом движения.
Состав хрящевой ткани, из которой состоят позвонки, у миксины тоже необычен. У всех других позвоночных, включая и миног, механической основой межклеточного вещества хряща является белок коллаген. В хряще миксины синтез коллагена ослаблен, зато усилен синтез бигликана и декорина — неколлагеновых белков, богатых аминокислотой лейцином и связанных с углеводами (строго говоря, это не белки, а протеогликаны). Механическую основу хряща здесь образуют именно они. По всей видимости, такой хрящ менее прочен, чем «классический», богатый коллагеном.
На основании всех этих данных японские ученые предложили сложную схему вероятной эволюции позвоночника (рис. 3). Предполагается, что у древнего позвоночного — предка и миксин, и миног, и рыб — имелся полный набор элементов позвонка: и дорсальные дуги, и вентральные. У рыб все они сохранились. А у бесчелюстных позвонок редуцировался, причем в разных группах разными путями: у миног от него остались только дорсальные элементы, а у миксин — только вентральные. Заодно у миксин изменился состав хрящевой ткани — она потеряла коллаген. Иными словами, получается, что у миксин вместе с редукцией дорсальных дуг позвонков произошло «размягчение» хряща, возможно, связанное с тем, что эти животные ведут придонный образ жизни и не очень хорошо плавают.
Рис. 3. Гипотеза ранней эволюции позвоночника. nt — хорда, n — нервная трубка, bd, id — дорсальные и bv, iv — вентральные элементы позвонков. Два типа хряща обозначены разными цветами: хрящ, богатый коллагеном — зелёным, хрящ, бедный коллагеном — голубым. Рисунок из обсуждаемой статьи в Journal of Experimental Zoology, с изменениями
Надо подчеркнуть, что если раньше речь шла о фактах, то данная эволюционная схема — пока лишь гипотеза. Можно было бы, например, предположить, что позвонки у миног и у миксин возникли просто независимо. Но палеонтологические данные, имеющиеся сейчас, скорее подтверждают версию, что у общего предка они были. Например, у бесчелюстного Euphanerops longaevus (рис. 4), жившего 380 миллионов лет назад, есть и дорсальные, и вентральные позвоночные дуги.

Рис. 4. Реконструкция Euphanerops longaevus. Рисунок Филиппа Жанвье (Philippe Janvier) с сайта www.miguasha.ca
Знакомая европейцам атлантическая миксина (Myxine glutinosa) отличается от японского пиявкорота тем, что у нее элементов позвонков нет совсем, даже в хвосте их наличие не подтверждено. Японские исследователи теперь не сомневаются, что это результат вторичной редукции, а позвоночник — изначальный признак всех черепных.
Источник: Kinya G. Ota, Satoko Fujimoto, Yasuhiro Oisi, Shigeru Kuratani. Late development of hagfish vertebral elements // Journal of Experimental Zoology (Molecular and Developmental Evolution). 2013. V. 320B. P. 129–139.
Сергей Ястребов




Рис. 1. Представитель миксин — японский пиявкорот Eptatretus burgeri. Фото с сайта natural-history.main.jp