Константин Бобров
«Популярная механика» №9, 2020

Трудно объяснить попытки приписать едва ли не все ключевые достижения и подвиги человечества изобретателям и ученым из России — как, впрочем, и какой-нибудь другой отдельно взятой страны. Сомнительные и часто ничем не подкрепленные претензии лишь отвлекают внимание от реальных открытий и находок, которых — если уж говорить о нашей стране — и без того предостаточно. Истинные знатоки истории науки легко вспомнят такие примеры, как электронный парамагнитный резонанс и хроматографию, шкалу Кардашева, эффект Черенкова и реакцию Белоусова — Жаботинского, гусеничный транспорт, вертолетный автомат перекоса, экранопланы, телевидение и токамак, игру «Тетрис» и архиватор RAR, минерал фианит и сплав победит, элементы московий и оганесон — все это наш весомый вклад в общее дело прогресса.
Именно отечественные археологи обнаружили на Алтае останки денисовского человека, физики получили первые квантовые точки, биологи нашли грамицидин С и другие новые антибиотики, инженеры создали ракетные ЖРД замкнутого цикла и научились проводить сварку под водой, а баллистики просчитали сложные орбиты типа «Молния». Андрей Терновский запрограммировал видеочат Chatroulette, Виктор Веселаго описал оптические метаматериалы, Вячеслав Муханов и Геннадий Чибисов развили теорию возникновения крупномасштабной структуры Вселенной. Академик Павлов открыл условные и безусловные рефлексы, академик Капица — сверхтекучесть. Но мы постарались собрать такие примеры, о которых известно даже не всякому истинному знатоку.
Лишь по воле случая профессор, академик и тайный советник Бекетов не стал известен так же широко, как Менделеев. Почти в каждом кабинете химии вместе периодической таблицей представлен и электрохимический ряд активности металлов, который был определен именно им. Работая в Харьковском университете, Бекетов провел пионерские эксперименты по восстановлению металлических оксидов другими металлами при высокой температуре, выстроив их в «вытеснительный ряд» и впервые получив чистые препараты некоторых щелочных металлов. Одним из самых эффективных восстанавливающих агентов оказался порошковый алюминий, реакции с которым сопровождаются выделением огромного количества тепла. Алюмотермия до сих пор находит применение в сварке труб и рельсов, а также в металлургии для получения марганца, хрома и т. п.

Квантовые точки — это полупроводниковые нанокристаллы, свойства которых зависят от их размеров и формы, что позволяет точно контролировать параметры испускаемого ими излучения. Они уже находят применение в биологии и медицине, а вскоре могут появиться и в бытовой электронике.

В каждом многоквартирном доме найдется хотя бы одно окно, освещенное яркими сиренево-фиолетовыми светодиодами, под которыми устроены домашние грядки. Но в эпоху начала искусственного электрического освещения никто не знал, способны ли растения вообще нормально жить и фотосинтезировать в его лучах. Это доказали эксперименты Фаминцына: еще работая над докторской диссертацией, он выяснил, что освещенные лампой — тогда еще керосиновой — водоросли благополучно продолжают поглощать углекислый газ и вырабатывать крахмал. Воздействие света на растения стало одним из главных направлений для ученого на всю жизнь. Фаминцын изучил влияние коротковолнового (красно-желтого) и длинноволнового (сине-фиолетового) излучения, проложив дорогу использованию систем искусственного освещения в масштабах всего сельского хозяйства — и как минимум в одной из квартир любой многоэтажки.
Заслуженный профессор Императорского Московского университета в особом представлении не нуждается: его эксперименты послужили основой для теоретических работ самого Эйнштейна, получившего за них Нобелевскую премию. Исследуя внешний фотоэффект — «выбивание» из вещества электронов потоком излучения — Столетов определил основные его законы, а также собрал и испытал фотоэлемент, использующий свет для получения электричества. И хотя это была не самая первая солнечная батарея в истории, в современной зеленой энергетике применяются именно такие фотоэлементы, работающие на основе фотоэффекта. Жаль, что разгадку этого явления Столетов так и не узнал: эйнштейновское объяснение появилось почти десятилетием позже смерти самого ученого и потребовало новых представлений о природе света — уже квантовых.

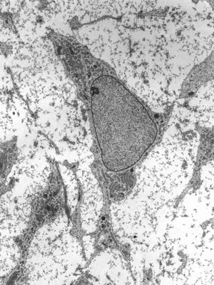
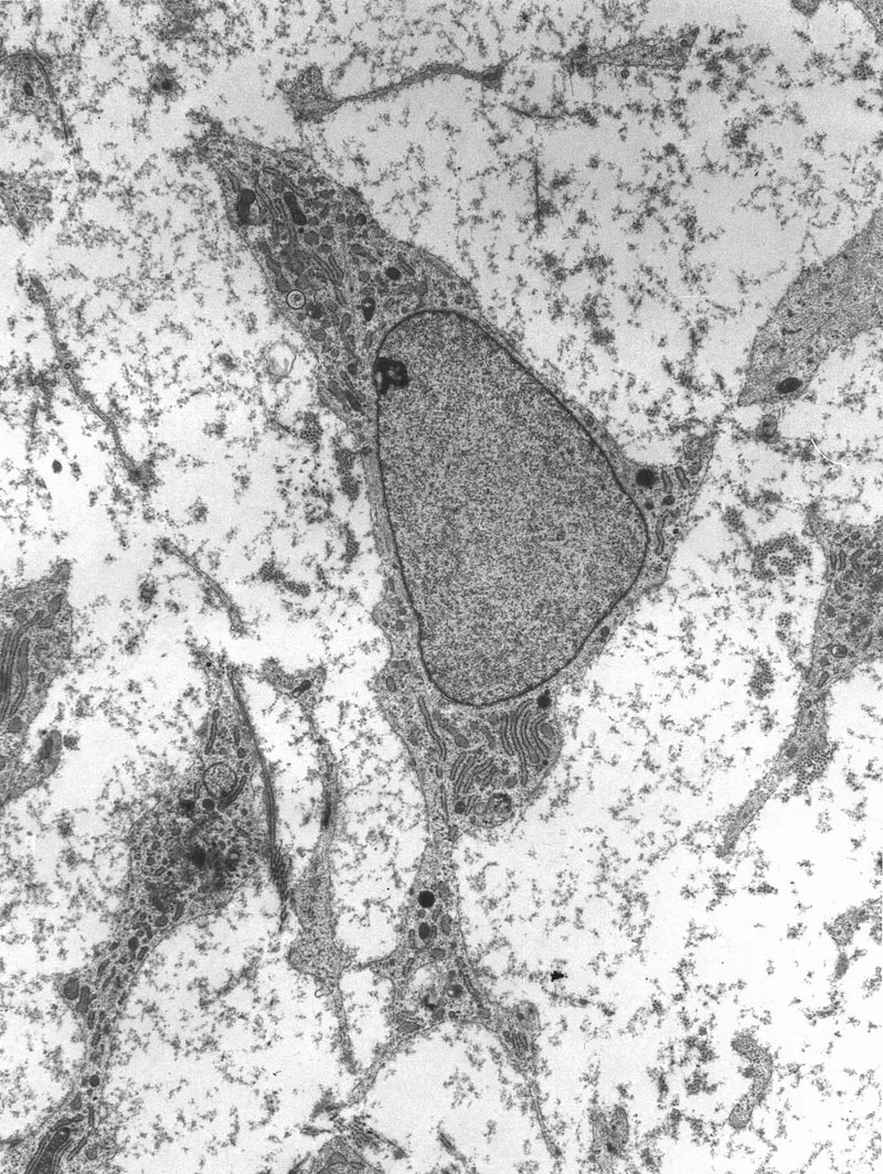
Искусный гистолог, Максимов впервые проследил все ключевые этапы гематопоэза — сложного и разветвленного процесса образования крови, обнаружив, что самые разные кровяные клетки образуются из одинаковых предшественников, похожих на лимфоциты. Такие клетки он назвал стволовыми (Stammzellen). Ученый еще не вкладывал в этот термин современного смысла, используя его скорее как описательный. Тем не менее с его руки редкое словечко вошло в научный обиход. Полвека спустя, когда американцы Тилл и Маккалох провели свои легендарные эксперименты по восстановлению нарушенного радиацией кроветворения у мышей пересадкой им одной-единственной зародышевой клетки, название для нее казалось уже совершенно естественным: стволовая.
Одесский еврей, в царской России Хавкин не имел никаких перспектив на значительную научную карьеру, поэтому вскоре после университета переехал в Швейцарию и с тех пор на родине бывал лишь наездами. В Лозанне он получил и первую противохолерную вакцину из препарата ослабленных бактерий, доказав ее эффективность на самом себе. При поддержке правительства Великобритании Хавкин открыл в Мумбаи лабораторию для производства и испытания вакцин, которая к нашему времени выросла в крупный бактериологический центр. Здесь же, в Индии, ученый столкнулся и с другой опаснейшей болезнью, чумой, и за несколько месяцев, работая до изнеможения, получил препарат и от нее. Уже вскоре количество вакцинаций и спасенных жизней исчислялось миллионами, и Хавкин был возведен в звание рыцаря — увы, Британской, а не Российской империи.
Химический синтез полибутадиена Лебедев в 1928 году дополнил технологиями получения самого бутадиена из обычного спирта. Благодаря этому к 1940 году СССР сделался крупнейшим производителем искусственного каучука в мире, выпуская за год более 50 тыс. тонн.

Если болезни Альцгеймера, Лайма или Паркинсона носят имена описавших их медиков, то аутизм вполне мог бы называться каким-нибудь «синдромом Сухаревой». В 1920-х она занималась организацией психоневрологических лечебных учреждений для московских детей и подростков, познакомившись со множеством случаев «шизоидной психопатии», которую впоследствии описала как «аутистическую», подчеркнув патологическое стремление избегать общения. Ограниченность мимики, отсутствие социальных взаимодействий, склонность к автоматизму — все эти стереотипические признаки Сухарева перечислила задолго до публикаций Ганса Аспергера. В 1926 году ее работы вышли на немецком, и считается, что он вполне мог ознакомиться с этими текстами, однако, живя в нацистской Германии, не стал цитировать работы ученой, происхождение которой с точки зрения «расовой теории» было крайне сомнительным.
Важнейший метод измерения артериального давления — по звуку пульса, который можно различить при наложении на артерию давления в определенных пределах. Описанный Коротковым в «Известиях Императорской военно-медицинской академии», он дошел до нашего времени практически в неизменном виде.

Не получив формального высшего образования, талантливый радиотехник с большим успехом работал в лабораториях Нижнего Новгорода и Ленинграда и опубликовал десятки научных статей в самых авторитетных изданиях, в том числе и зарубежных. Еще в середине 1920-х Лосев заметил, что при прохождении тока через карборундовый детектор возникает свет, о чем и сообщил в журнале «Телеграфия и телефония без проводов». В 1927-м он получил патент (№ 14672) на «световое реле», которое, по сути, было первым полупроводниковым светодиодом, а в конце 1941-го даже подготовил статью, в которой, по некоторым сведениям, содержалось описание полупроводникового транзистора. Увы, текст не сохранился: оказавшись в блокадном Ленинграде, Лосев погиб в 1942 году. Полупроводниковая, а затем и светодиодная революция стартовала лишь через несколько десятилетий и в совсем другой стране.
Советский физик и математик прославился ключевыми расчетами дифракции электромагнитных волн на проводящих телах, поверхность которых имеет изломы. Проще говоря, он сформулировал уравнения, позволяющие высчитывать площадь рассеяния радиолучей для летательных аппаратов разных форм. В начале 1960-х созданный им метод краевых волн казался чересчур умозрительным: считалось, что малозаметные конструкции несовместимы с принципами аэродинамики. Поэтому монография Уфимцева была спокойно переведена на английский — и в корпорации Lockheed к ней отнеслись куда серьезнее. Найденные Уфимцевым алгоритмы использовались при проектировании F-117 Nighthawk, первого самолета, выполненного с использованием стелс-технологий, который поднялся в воздух в 1981 году.

Это способность некоторых микробов получать энергию за счет окисления простых неорганических веществ: сероводорода, аммиака, оксида железа (II), сульфитов. Такие бактерии и археи населяют недоступные прочим организмам, бедные кислородом ниши — от глубин почвы до «черных курильщиков» на дне океанов.