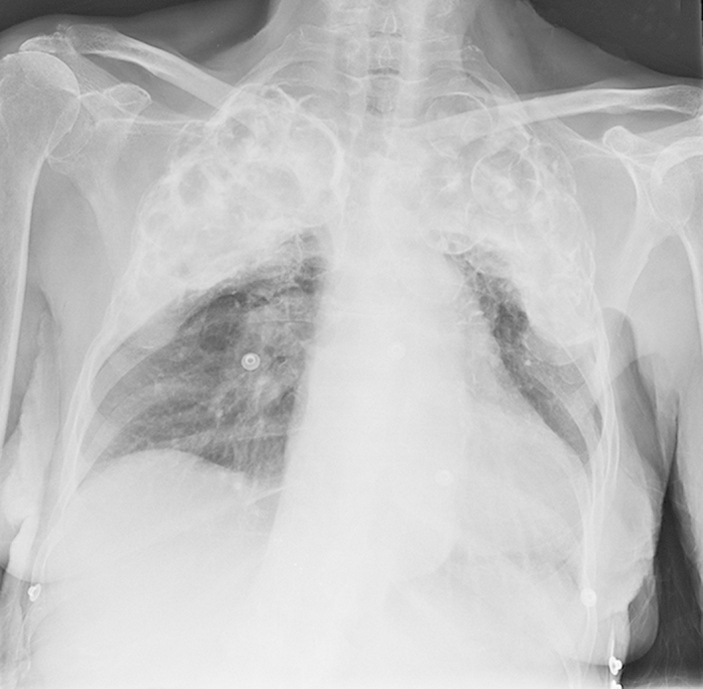
Перед вами КТ-сканограмма (см. CT localizer radiograph) задней поверхности грудной клетки 96-летней пациентки. В верхней части легких прекрасно заметны многочисленные округлые образования. Это шарики из люцита (также известного как оргстекло, акрил, полиметилметакрилат, плексиглас), которые указывают на то, что в молодости женщина болела туберкулезом.
До появления противотуберкулезных препаратов, первым из которых был антибиотик стрептомицин, туберкулез легких приходилось лечить доступными способами. С середины XIX-го до середины XX века этим способом был отдых в санатории. В 1882 году итальянский врач Карло Форланини (Carlo Forlanini) придумал новый метод лечения — искусственный пневмоторакс, подразумевавший введение в плевральную полость воздуха, в результате чего пораженное легкое сжималось. Такой метод лечения назывался коллапсотерапией. Предполагалось, что спавшееся легкое отдыхает и потому лучше заживает. Однако воздух приходилось вводить с помощью шприца регулярно. Поэтому применяли также торакопластику, при которой удаляли часть ребер с целью уменьшения объема грудной полости. Торакопластика приводила к сколиозу и изменению контура грудной клетки.
С конца 1940-х по 1950-е годы для лечения стали использовать пломбаж. В верхней части грудной стенки хирургическим путем создавалась полость, и в образовавшееся пространство вводились разные инертные материалы: масло, собственный жир или фрагменты мышц пациента, парафин, резиновые шарики, люцитовые шарики и даже полиэтиленовые пакеты, заполненные полосками полиэтиленовой пленки — это также способствовало коллапсу легкого и ограничивало распространение инфекции на другие области легких.

Рентгеновский снимок пациентки с пломбажем из шариков для пинг-понга. Фото из статьи N. Khan, 2014. Unusual chest radiograph finding plombs old depths
Материалы для заполнения полости отвечали ряду требований: были легкими, неканцерогенными, инертными, нерастворимыми в тканях и рентгенопрозрачным. Более всего этим требованиям удовлетворял люцит. Однако со временем и люцитовые шарики могли разрушаться, заполняться гноем. Осложнения могли возникнуть не сразу, а спустя десятилетия после пломбирования: инфекции, злокачественные новообразования и даже миграция шариков за пределы грудной полости из-за эрозии тканей. Известны случаи, когда шарики обнаруживали под кожей подмышки или в тощей кишке.
Удивительна история пациентки, у которой в 1935 году, в возрасте 29 лет, развился туберкулез легких, и в 1942 году ей сделали пломбаж парафином. До 1955 года у нее было всё хорошо. А вот в 1970-м она стала откашливать кусочки парафина! Продолжалось это в течение нескольких недель. И повторилось в 1985 году, в возрасте 79 лет, причиняя женщине боль, кусочки могли быть диаметром несколько миллиметров и длиной до 2 см. Женщина принесла врачам около 100 таких фрагментов. Врачи сочли попытки удалить воск опасными и, к сожалению, пациентка скончалась. Вероятно, парафин сперва попал в плевральную полость, а затем через бронхоплевральный свищ — в бронх.
Действительно ли пломбаж позволял вылечить туберкулез легких или нет, мы никогда не узнаем, поскольку не было проведено рандомизированных клинических исследований. Кроме того, инфекция могла отступить спонтанно, сама по себе, без лечения. Однако некоторые пациенты тем не менее выжили и прожили долгую жизнь без туберкулеза.
Фото с сайта reddit.com.
Юлия Михневич




Рентгенограммы грудной клетки в задней (A) и боковой (B) проекции у 64-летней женщины. Пациентка лечилась от туберкулеза в 1953 году, ей удалили наружный листок плевры и заполнили пространство люцитовыми шариками (стрелки). Пациентка более туберкулезом не болела. На рентгеновских снимках шарики из люцита видны только благодаря их кальцификации. C — образец таких шариков, каждый приблизительно 2,5 см в диаметре (две трети размера мячика для пинг-понга), взятых посмертно у другого пациента. Фото из статьи D. J. Mond, A. Khan, 1994. Lucite-Ball Plombage