
Американские исследователи впервые прошли весь путь по превращению специализированных клеток человека (фибробластов кожи и клеток костного мозга) в клетки костной ткани. Чтобы изменить специализацию клеток, их сначала превратили в индуцированные плюрипотентные клетки — клетки, которые потенциально могут приобрести разные специализации. Из индуцированных плюрипотентных клеток были получены клетки костной ткани, которые выращивали в специальном биореакторе, чтобы получить искусственные косточки. Выращенные косточки обладали свойствами природных костей человека — имели сходную плотность клеток, содержали необходимые белки, выделяли необходимые внеклеточные вещества. Спустя 12 недель после имплантации мышам полученные кости сохраняли свои свойства.
Для замены поврежденных органов и тканей пациента — трансплантации — сейчас используются донорские органы, искусственные трансплантаты, а также аутологичная трансплантация (пересадка пациенту его собственных тканей). У всех этих методов есть очевидные недостатки: донорские органы могут атаковаться иммунной системой организма, искусственные трансплантаты не по всем параметрам сходны с природными органами, а аутологичная трансплантация неприменима в случае, если у пациента есть патологии тканей, необходимых для пересадки, и к тому же не всегда удобна из-за повреждения участков тела, из которых берутся клетки.
Именно поэтому возникла мечта о создании требуемых органов из собственных клеток, минимально травмируя при этом самого пациента. Такие органы, так же как и аутотрансплантаты, не будут вызывать иммунного отторжения и будут иметь все свойства природных органов. Работы в этом направлении уже ведутся: так, в 2010 году была опубликована статья (см.: Grayson et al., 2010. Engineering anatomically shaped human bone grafts), авторам которой удалось вырастить фрагмент нижнечелюстной кости из мультипотентных мезенхимальных стромальных клеток пациента, выделенных из костного мозга (рис. 1). Мезенхимальные стромальные клетки — это клетки-предшественники, способные развиваться в клетки костной ткани, клетки хряща и жировые клетки. Для получения кости требовалось лишь запустить процесс превращения этих клеток в клетки костной ткани и вырастить их на специальной основе анатомической формы.
К сожалению, выделение мезенхимальных клеток представляет собой достаточно трудоемкий процесс, и поэтому следующим шагом должно было стать получение костей из тех клеток, которые легче добыть. Однако такие клетки не являются природными предшественниками клеток костной ткани, поэтому для получения искусственной кости выделенные клетки необходимо «перепрограммировать».
Теоретически в этом нет ничего невозможного, ведь каждая клетка нашего организма несет всю информацию, необходимую для функционирования любых типов клеток. Однако в специализированных клетках большая часть этой информации не используется: так, существуют гены, работа которых делает нервную клетку нервной клеткой, но все эти гены молчат в клетках печени, в клетках сетчатки, в клетках сердечной мышцы и во всех остальных клетках с другой специализацией. Чтобы изменить специализацию клетки, нужно сначала «отключить» ее текущую специализацию — перевести ее из дифференцированного (специализированного) состояния в плюрипотентное (от лат. pluralis — множественный, potentia — сила, мощь, возможность, в широком смысле можно перевести как «возможность развития по разным сценариям»). Делается это с помощью введения в дифференцированную клетку молекул ДНК, кодирующих четыре фактора плюрипотентности — оказалось, что всего лишь четырех факторов достаточно, чтобы отключить текущую специализацию клетки и перевести ее в состояние, из которого она может превратиться в клетку другого типа. Полученные таким образом клетки называются индуцированными плюрипотентными клетками. Из индуцированных плюрипотентных клеток (Induced pluripotent stem cell, iPS cells, iPSCs) с помощью добавления специальных факторов можно получить клетки требуемого типа.
Авторам недавно опубликованной в журнале PNAS работы удалось осуществить всю эту последовательность действий и получить «искусственную» кость. В качестве исходных клеток они использовали фибробласты кожи и клетки костного мозга, превращали эти клетки в плюрипотентные, затем переводили их в мезенхимальные клетки, способные быть предшественниками клеток костной ткани, клеток хряща и жировых клеток. Из мезенхимальных клеток с помощью добавления специальной среды получали клетки костной ткани. Чтобы образовалась кость требуемой формы и структуры, клетки нужно выращивать на специальной основе, представляющей из себя фрагмент кости теленка, полностью очищенный от клеток.
Для образования костной ткани, сходной с природной, на основу из кости теленка наносят небольшое количество мезенхимальных клеток. После этого будущая кость в течение пяти недель находится в специальном биореакторе, где подрастающие клетки регулярно промываются питательной средой. Среда должна также содержать факторы, способствующие превращению мезенхимальных клеток в клетки костной ткани. Характеристики потока среды влияют на свойства полученной кости, и, меняя поток питательной среды через разные части образующейся кости, можно получить, к примеру, разную плотность клеток в разных ее частях. Детальное изучение влияния свойств потока среды на рост клеток важно при выращивании костей анатомической формы.
Оказалось, что искусственно полученные мезенхимальные клетки человека могут успешно заселить такую основу и при выращивании в соответствующей среде могут превратиться в клетки костной ткани. Образовавшиеся специализированные клетки костной ткани будут выделять необходимые внеклеточные компоненты, завершая формирование искусственной кости.
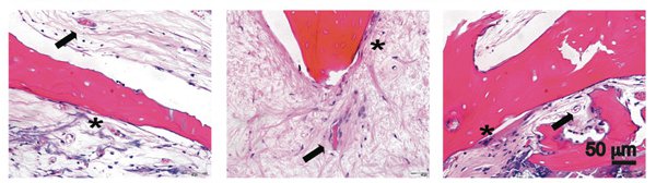
Для проверки неизменности свойств полученных косточек их вживляли под кожу мышам, извлекали через 12 недель и проверяли, остались ли свойства косточек прежними. Поскольку кости были выращены с использованием человеческих клеток, а эксперименты с имплантацией проводили на мышах, то чтобы пересаженная кость не атаковались иммунной системой, в экспериментах использовали линию иммунодефицитных мышей. Оказалось, что в живом организме искусственно выращенные косточки остаются стабильными — то есть клетки остаются жизнеспособными, и в них работают те же гены, что до имплантации. Интересно, что за 12 недель кость начинала восприниматься организмом как своя: в нее прорастали сосуды и в ней обнаруживались хозяйские клетки-остеокласты, занимающиеся перестройкой костной ткани. Вокруг костей образовывались капсулы из рыхлой соединительной ткани (рис. 2).

За время имплантации также повышалась минерализация вживленных косточек (рис. 3).

Рис. 3. 3D-модели искусственно созданных косточек, полученные методом компьютерной томографии. Сверху отмечены названия клеточных линий, из которых получали индуцированные плюрипотентные клетки. В верхнем ряду показаны косточки до имплантации, в нижнем — после двенадцати недель имплантации. Видно, что за время имплантации вещество кости стало более плотным, то есть образование костной ткани продолжалось и после имплантации. Рисунок из обсуждаемой статьи в PNAS
Авторы также изучили, какие клетки лучше брать за основу, чтобы выращивать искусственные кости. В работе сравнивались свойства костей, полученных из клеток костного мозга, а также из кожных фибробластов. Кроме того, при получении плюрипотентных клеток использовали разные способы доставки фрагментов ДНК, кодирующих факторы плюрипотентности, — разные векторные молекулы.
Для доставки чужеродной ДНК в клетку часто используют молекулы вирусной ДНК, в которой удалены все гены, отвечающие за размножение вируса и вместо них вставлен какой-либо другой ген. Такой вирус (вирусный вектор) неинфекционен, зато способен вносить внутрь клетки новый ген, включённый в состав вирусной ДНК.
Сам набор факторов также различался в разных экспериментах. Оказалось, что полученные разными способами индуцированные плюрипотентные клетки дают в итоге костную ткань с разными свойствами — у полученных клеток немного различались активности генов, важных для работы клеток костной ткани, отличались количества отложенного кальция и скорости роста клеток в биореакторе. Лучшими показателями обладали клетки костной ткани, полученные из фибробластов при введении факторов плюрипотентности OCT4, SOX2, KLF4 и C-MYC с помощью вектора на основе вируса Сендай (см. Sendai virus).
К сожалению, пока не вполне ясно, какие типы клеток больше всего подойдут для выращивания костей реальных пациентов: пока что все опыты проводились только на мышах и на модельных культурах клеток человека, не говоря уж о том, что для подбора оптимальных клеток требуются серьёзные сравнительные исследования. Кроме того, неизвестны механизмы, благодаря которым клетки разного типа по-разному перепрограммируются в костные клетки. Похожая ситуация с факторами плюрипотентности и с векторными молекулами — ученые пока лишь подбирают их оптимальные комбинации, но говорить о том, почему именно такая комбинация хороша, и каковы механизмы ее влияния на будущее клетки пока сложно.
Тем не менее, в работе сделан важный шаг на пути к получению требуемых пациенту органов из его собственных клеток, которые легко выделить. Теперь ясно, что по крайней мере для костей такая технология вполне применима. Пока трудно сказать, удастся ли таким методом получить другие органы — например, имеющие сложную иннервацию или структуру кровеносных сосудов. Нервные клетки и клетки эндотелия сосудов развиваются по особым путям, и для их выращивания нужно будет добавлять различные типы клеток-предшественников. При этом нужно будет каким-то способом заставить их сформировать правильную структуру внутри растущего органа. Однако, представляется, что эти задачи хотя и сложны, но решаемы, и что у нас есть все основания верить в скорое развитие медицины нового типа.
Источник: Giuseppe Maria de Peppo, Iván Marcos-Campos, David John Kahler, Dana Alsalman, Linshan Shang, Gordana Vunjak-Novakovic, and Darja Marolt. Engineering bone tissue substitutes from human induced pluripotent stem cells // PNAS. 2013. V. 10. P. 8680–8685.
Юлия Кондратенко




Рис. 1. Процесс получения фрагмента нижнечелюстной кости из мезенхимальных клеток костного мозга пациента. А, В — показан фрагмент, копию которого требовалось получить. С — полученная из кости теленка основа для выращивания кости. D — вид требуемого фрагмента в разных проекциях, Е — схема биореактора, F — камера биореактора, в которую помещается основа для выращивания кости. В отверстия подается питательная среда, стимулирующая превращение мезенхимных клеток в клетки костной ткани. Иллюстрация из работы Warren L. Grayson et al., 2010. Engineering anatomically shaped human bone grafts