Новости науки > Медицина

Гримасы симбиоза: от паразитов тоже может быть польза

Круглые черви могут защищать от астмы и аллергии, ослабляя иммунную реакцию организма (фото с сайта www.nature.com)
Круглые черви могут защищать от астмы и аллергии, ослабляя иммунную реакцию организма (фото с сайта www.nature.com)

Что бы там ни говорили ксенофобы, даже такие нежелательные гости человеческого организма, как паразиты, живущие в кишечнике, могут приносить своим невольным хозяевам существенную пользу. Например, защищать их от проявлений астмы и разнообразных аллергических состояний.

К такому выводу пришли исследователи из Эдинбургского университета, занявшиеся выяснением тонкостей взаимоотношений между разными видами глистов и зараженными ими людьми (а таких по всему миру сегодня насчитывается примерно два миллиарда человек). Несмотря на то что присутствие паразитов зачастую приводит к возникновению расстройств пищеварительной системы, дизентерии, замедлению физического развития зараженного и постоянному недоеданию, в некоторых случаях кишечные черви могут приносить и пользу, расплачиваясь, так сказать, за стол и ночлег. Тоже, впрочем, невольно.

Первые подозрения на этот счет появились у западных биологов еще в минувшем году по итогам исследования, проведенного на территории Габона. Тогда, как пишет журнал Nature, было обнаружено, что зараженные глистами дети демонстрируют пониженный уровень аллергических реакций. Автор исследования предположил, что этот неожиданный эффект как-то связан с усилением работы иммунной системы, пытающейся избавиться от агрессора и выделяющей повышенный объем T-клеток, регулирующих синтез иммуноглобулинов. Эти клетки не только заставляют B-клетки атаковать патогены, но и подавляют их ненужную активность, когда они пытаются атаковать безвредные вещества, вызывая аллергическую реакцию.

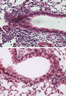
Аллергическое воспаление дыхательных путей (лиловый цвет) у зараженных паразитами мышей (внизу) было значительно меньше (фото с сайта www.jem.org)
Аллергическое воспаление дыхательных путей (лиловый цвет) у зараженных паразитами мышей (внизу) было значительно меньше (фото с сайта www.jem.org)

И вот недавно британским ученым удалось найти этому предположению экспериментальное подтверждение. Аргументы в пользу этой гипотезы были найдены в ходе обследования нескольких лабораторных мышей, зараженных паразитом Heligmosomoides polygyrus — круглым червем из класса нематод, достигающим пяти миллиметров в длину. Черви этого вида обитают в кишечнике носителя, цепляясь к ворсинкам, которыми покрыт кишечник.

Предварительное обследование показало, что иммунная система зараженных мышей выделяет значительно больше регулирующих T-клеток. Когда часть T-клеток была изъята у зараженных мышей и введена в кровь здоровых грызунов, клетки немедленно мигрировали в легкие своих новых хозяев и подавили астматическую реакцию, возникающую при вдыхании пыли, в которой обитают микроскопические клещи — обычный источник аллергии как у людей, так и у животных.

Авторы исследования, опубликованного в издании The Journal of Experimental Medicine, надеются, что полученные ими результаты приведут к созданию новых видов противоаллергенных препаратов, позволяющих добиться схожего эффекта, но более гуманным способом, не требующим заражения астматиков глистами.


0
Написать комментарий

    Элементы

    © 2005–2026 «Элементы»