Владислав Сыщенко,
докт. физ.-мат. наук, Белгородский государственный национальный
исследовательский университет
«Троицкий вариант» №4(123), 26 февраля 2013 года

   
   
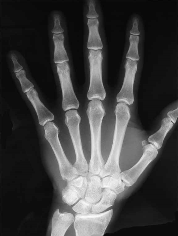
Рис. 4. Современная рентгенограмма кисти руки. Изображение с сайта www.articlesweb.org
Рис. 1. Рентгенограмма руки Берты Рентген. Фото с сайта en.wikipedia.org