Лев Манвелов, кандидат медицинских наук,
Альберт Кадыков, доктор медицинских наук
«Наука и жизнь» №2, 2007

Головная боль, шум и головокружение, ухудшение памяти, повышенная утомляемость, снижение работоспособности — подобные симптомы встречаются не только у пожилых, но и у людей среднего и даже молодого возраста. Зачастую пациенты да и некоторые медицинские работники не очень серьезно относятся к таким жалобам. Между тем они могут свидетельствовать о хронической недостаточности мозгового кровообращения.
Для нормальной работы головного мозга требуется большое количество энергии. Питательные вещества и кислород доставляются в клетки нервной ткани с кровотоком. Природа позаботилась о том, чтобы создать высокую степень надежности снабжения мозга кровью. Ее обеспечивают четыре мощные магистральные артерии: две сонные и две позвоночные. У основания мозга ветви этих сосудов образуют замкнутый круг, названный виллизиевым по имени английского врача и анатома XVII века Томаса Виллизия, впервые его описавшего. Благодаря этому недостаток кровоснабжения в одном из магистральных сосудов компенсируется за счет других. Бывает и так, что даже при серьезных нарушениях кровотока в трех из четырех магистральных сосудах человек жалуется лишь на небольшое ухудшение самочувствия — настолько велики компенсаторные возможности мозга. Велики, но, к сожалению, не беспредельны. Человеку удается «расшатать» и эти совершенные механизмы компенсации, созданные природой. Всё начинается с самых заурядных жалоб на головную боль, головокружение, снижение памяти и усталость.
Через какое-то время у больного обнаруживают более серьезные неврологические симптомы, свидетельствующие о множественном поражении мозга. Причина тому — хроническая недостаточность мозгового кровообращения, или «дисциркуляторная энцефалопатия». Этот термин предложили в 1971 году известные отечественные ученые, работавшие в НИИ неврологии РАМН, академик РАМН Е. В. Шмидт и кандидат медицинских наук Г. А. Максудов, и означает он изменения в мозге, связанные с нарушениями его кровоснабжения.
Главные причины возникновения и развития дисциркуляторной энцефалопатии — артериальная гипертония и атеросклероз.
Гипертонической болезнью страдают более 40% взрослого населения России. Болеют мужчины и женщины, старики и молодежь. Только в 5% случаев причина возникновения гипертонии понятна. Это могут быть почечная недостаточность, эндокринные нарушения, атеросклероз и некоторые другие заболевания. В 95% случаев причина гипертонии остается невыясненной, именно поэтому ее называют эссенциальной (дословно — собственно гипертония). При гипертонической болезни стенки сосудов уплотняются, формируются локальные сужения (стенозы) и извитости. Всё это приводит к нарушениям кровообращения и в том числе — кровоснабжения мозга. Иногда дело доходит до окклюзии — полного закрытия просвета сосуда.

В отличие от гипертонии причина атеросклероза известна — это нарушение липидного обмена. У больных атеросклерозом в крови повышается уровень жироподобных веществ — холестерина, липопротеинов низкой плотности, триглицеридов, которые осаждаются на стенках сосудов, формируя липидные пятна. Затем пятна разрастаются в так называемые бляшки. Из-за отложения солей кальция бляшки уплотняются и в конечном итоге сужают или даже закрывают просвет сосудов. Затем они начинают распадаться, их частички — эмболы попадают в кровяное русло и иногда закупоривают другие мелкие и крупные сосуды.
Порой развитию дисциркуляторной энцефалопатии способствует остеохондроз, так как при этом заболевании из-за деформации межпозвоночных дисков могут зажиматься позвоночные артерии, снабжающие мозг кровью.
Нарушения кровоснабжения приводят к постепенному отмиранию нейронов в различных участках мозга, и у больного возникают неврологические симптомы. Для дисциркуляторной энцефалопатии наиболее характерны эмоционально-личностные нарушения. В начале заболевания отмечаются астенические состояния: общая слабость, раздражительность, плохой сон. Нередко астения сопровождается депрессией. Постепенно начинают проявляться такие болезненные свойства личности, как эгоцентризм, периодически возникающее беспричинное возбуждение, которое может быть резко выраженным и проявляться в неадекватном поведении. При дальнейшем развитии недуга эмоциональная реактивность снижается и постепенно переходит в тупость и апатию.
Раз начавшись, заболевание неуклонно прогрессирует, хотя в его течении могут наблюдаться как резкие периодические ухудшения (пароксизмальное течение), так и периоды медленного нарастания симптомов заболевания.
Не следует забывать, что дисциркуляторная энцефалопатия увеличивает риск возникновения многих тяжелейших заболеваний головного мозга и прежде всего инсульта — острого нарушения кровообращения мозга (Манвелов А., канд. мед. наук; Кадыков А., докт. мед. наук. «Инсульт — проблема социальная и медицинская» // «Наука и жизнь» 2002, № 5.). В России инсульты регистрируются более чем у 400 тыс. человек в год. Из них 35% погибают в первые три недели заболевания, а годовой рубеж преодолевает только половина больных. Не следует исключать и возможности возникновения эпилептических приступов на фоне развивающейся дисциркуляторной энцефалопатии.

Различают три основных вида нарушений мозгового кровообращения.
При болезни Бинсвангера из-за утолщения стенок и сужения просвета мелких артерий возникает диффузное поражение внутренних структур мозга — так называемого белого вещества. Множественные мелкие очаги поражения представляют собой участки отмерших нейронов. У больных происходит нарушение циркадных (суточных) колебаний давления: в ночное время оно или падает слишком резко, или, наоборот, повышается, хотя давление ночью должно незначительно снижаться. Один из основных симптомов болезни — нарушение сна. Больной плохо засыпает или спит с частыми пробуждениями. Другие типичные признаки — медленное прогрессирование нарушений памяти и интеллекта вплоть до деменции (слабоумия); нарастающие нарушения походки, расстройства мочеиспускания и дефекации. Известно, что болезнь Бинсвангера может настичь даже в относительно молодом возрасте — до 35 лет.
Для другого вида дисциркуляторной энцефалопатии — так называемых мультиинфарктных состояний — характерны множественные небольшие инфаркты в мозге (микроинсульты). Это означает, что на определенном участке мозга из-за закупоривания сосуда происходит омертвление нервной ткани. При этом поражаются как поверхностные (серое вещество), так и глубокие (белое вещество) структуры мозга.
Главная причина развития мультиинфарктных состояний — сужение и уплотнение внутримозговых артерий при артериальной гипертонии. Другая распространенная причина — заболевания сердца, сопровождающиеся мерцательной аритмией. У таких больных в полостях сердца образуются сгустки крови — тромбы, которые могут закупорить сосуды, снабжающие мозг кровью. Образованию тромбов способствует и повышенная свертываемость крови. Еще одна причина возникновения мультиинфарктных состояний — атеросклеротическое поражение внутримозговых артерий.
Дисциркуляторная эцефалопатия развивается также при поражении магистральных (сонных и позвоночных) артерий, находящихся не внутри мозга, а обеспечивающих приток крови к мозгу. Поражения могут иметь различную природу и причины — тромбозы, стенозы, изгибы и перегибы различной этиологии.
Различают три стадии дисциркуляторной энцефалопатии. Длительность каждой из них может быть разной. Многое зависит от степени гипертонической болезни или атеросклероза, образа жизни, привычек, наследственности, сопутствующих заболеваний и т. д. На начальной стадии болезни люди часто жалуются на головные боли, головокружения, шум в голове, снижение памяти (непрофессиональной) и работоспособности. Больные бывают рассеянны, раздражительны, слезливы, настроение у них часто подавленное. Им обычно трудно переключиться с одного вида деятельности на другой.

На следующей стадии заболевания прогрессируют нарушения памяти, в том числе и профессиональной. Сужается круг интересов, появляются вязкость мышления (зацикливание на какой-то проблеме), неуживчивость, страдает интеллект, происходит изменение личности. Для таких больных характерны дневная сонливость и плохой ночной сон. Усиливается неврологическая симптоматика, движения замедляются, нарушается их координация, появляются легкие нарушения речи, пошатывание при ходьбе, существенно снижается работоспособность.
На последней стадии болезни грубые изменения мозговой ткани делают неврологические симптомы еще более выраженными, усиливаются психические расстройства вплоть до деменции (слабоумия). Больные полностью теряют трудоспособность, перестают узнавать близких, совершают неадекватные действия, могут потеряться, выйдя на прогулку.
При обследовании у подавляющего числа больных дисциркуляторной энцефалопатией выявляются характерные заболевания или физиологические особенности и привычки. К таким факторам риска относятся:
У мужчин с быстро прогрессирующей дисциркуляторной энцефалопатией обычно в анамнезе психо-эмоциональное перенапряжение, малоподвижный образ жизни, злоупотребление алкоголем, отсутствие регулярного лечения и наличие двух или более сопутствующих заболеваний. У женщин, помимо перечисленных факторов, неблагоприятному течению болезни часто способствует избыточная масса тела.
Если у больных артериальной гипертонией и атеросклерозом (или у представителей других групп риска) появляются жалобы на головную боль, головокружение, снижение работоспособности, ухудшение памяти, то можно заподозрить начальную стадию дисциркуляторной энцефалопатии. Пациенты с такими симптомами должны, прежде всего, постоянно контролировать артериальное давление, пройти электрокардиографическое исследование, сдать общие анализы крови и мочи, анализы крови на сахар и липиды. Не помешает и психологическое исследование, с помощью которого оценивается состояние памяти, интеллекта, внимания и речи.
Предвестниками сердечно-сосудистых заболеваний, проявляющихся в нарушении кровообращения мозга, могут быть даже небольшие неспецифические изменения электрокардиограммы. Кстати, нормальные электрокардиограммы или эхокардиограммы не исключают наличия болезни, так как изменения могут быть заметны только в момент ишемии (малокровия) миокарда или приступа стенокардии. Важную информацию дает электрокардиограмма, снятая при физической нагрузке. Суточный мониторинг работы сердца также позволяет выявить нарушения.
Важное значение для постановки диагноза имеет информация о состоянии глазного дна (задней стенки глаза), клетки которого напрямую связаны с нейронами мозга. Изменения сосудов и нервных клеток глазного дна позволяют судить о нарушениях структуры мозговой ткани. У больных дисциркуляторной энцефалопатией нередко снижается слух, нарушается глотательный рефлекс, обоняние. Поэтому для постановки диагноза нужно провести отоневрологическое исследование, выявляющее нарушения вестибулярного аппарата, слухового, обонятельного и вкусового восприятий.
Полезную информацию дает исследование реологических свойств крови — ее текучести. Главным фактором, влияющим на жидкостные свойства крови и на степень насыщения ее кислородом, считается гематокрит — отношение объема эритроцитов к объему плазмы. Его повышение способствует увеличению вязкости крови и ухудшению кровообращения. Между высоким гематокритом и инфарктами мозга существует прямая связь.
После проведения предварительных исследований больного обычно направляют на рентгенографическое исследование сосудов головного мозга — ангиографию. Ангиографию врачи считают «золотым стандартом», с которым сравнивают результаты других методов исследования. После введения специального контрастного вещества получают рентгеновские изображения сосудов мозга. Ангиография дает информацию о длительности и последовательности заполнения сосудов крови, о сформировавшихся «обходных» путях кровообращения при закупорке или сужении сосудов мозга. Результаты исследования имеют важное значение при решении вопроса о целесообразности операции.
Электроэнцефалография — старый и очень распространенный метод исследования мозга, основанный на регистрации его электрических потенциалов. Изменения на энцефалограмме свидетельствуют об органических изменениях в мозговой ткани, поэтому на начальной стадии заболевания дисциркуляторной энцефалопатией энцефалография никаких нарушений может не выявить.
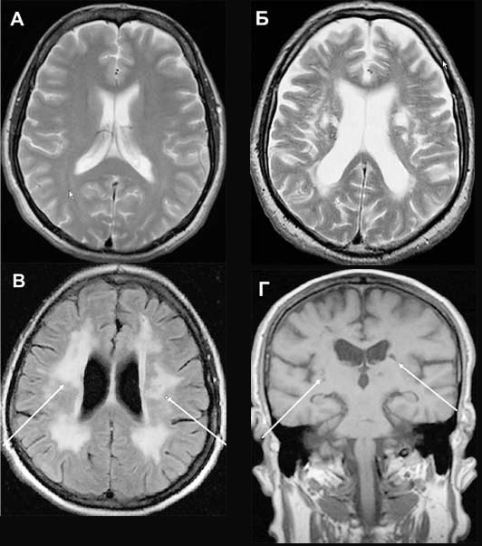
Настоящую революцию в исследованиях мозга произвело появление метода компьютерной томографии, сочетающего достижения рентгенографии и компьютерных методов обработки данных. С его помощью можно получить не косвенные, а прямые данные о структурах мозга и их изменениях. Метод позволяет определить расположение и размеры очагов поражения мозга и их характер.

В последнее время для диагностики нарушения кровообращения мозга применяют магнитно-резонансные методы: ядерный магнитный резонанс, магнитно-резонансную томографию и магнитно-резонансную ангиографию. Ядерный магнитный резонанс дает информацию о физико-химических свойствах структур мозга, благодаря чему можно отличить здоровые ткани от измененных. Магнитно-резонансная томография позволяет получить изображения мозга, определить расположение, размеры, форму и количество очагов, изучить мозговой кровоток. Магнитно-резонансная ангиография представляет собой модификацию магнитно-резонансной томографии. С ее помощью можно исследовать прохождение и «калибр» внечерепных и внутричерепных артерий и вен.

В настоящее время созданы и успешно применяются высокоинформативные методы получения трехмерного изображения структур мозга: однофотонная эмиссионная компьютерная томография и позитронная эмиссионная томография.

Широко используются для обследования больных не только в стационаре, но и в амбулаторных условиях ультразвуковые методы: допплерография и эхотомография, дуплексное сканирование и транскраниальная допплерография. Ультразвуковая допплерография применяется для выявления поражений сонных и позвоночных артерий. Она дает возможность получить информацию о профиле кровотока в сосудах. При дуплексном сканировании цветовое контрастирование потоков позволяет более четко разграничить движущийся (кровь) и неподвижные (стенки сосудов) объекты. Основные поражения сосудов, выявляемые методом транскраниальной допплерографии, — закупорки, стенозы, спазмы и аневризмы. Наиболее полную информацию о состоянии сосудистой системы мозга можно получить, сопоставив данные различных методов ультразвукового исследования. Недавно появился новый метод ультразвуковой диагностики — транскраниальная сонография с цветовым допплеровским кодированием. С его помощью можно «увидеть» структуры мозга через кости черепа.
Врачам давно известен так называемый закон половинок, основанный на результатах крупных эпидемиологических исследований. Суть его состоит в том, что половина больных не знает о своем заболевании, а из тех, кто знает, половина — не лечится. Из тех, кто лечится, половина принимает лекарства нерегулярно, т. е. лечится неэффективно. Следовательно, лечение получают только около 12% больных. Такая удручающая картина складывается потому, что, как говорил французский писатель Франсуа де Ларошфуко, «нам не хватает характера, чтобы покорно следовать велению рассудка».
Между тем известно, что артериальная гипертония и обусловленная ею дисциркуляторная энцефалопатия достаточно хорошо поддаются лечению. Проводившиеся как в нашей стране, так и за рубежом исследовательские программы борьбы с артериальной гипертонией показали, что с их помощью можно за пять лет снизить заболеваемость инсультом на 45–50%. Если бы программа борьбы с гипертонией работала в масштабах всего здравоохранения России, то за пять лет удалось бы сохранить жизнь более двух миллионов погибающих от инсульта человек. И это не считая потери больных с иными поражениями мозга, сердца, почек, глаз и других органов, вызванными гипертонией.
Согласно рекомендациям Всемирной организации здравоохранения и Международного общества гипертонии, ее терапия должна основываться на двух принципах:
Больным дисциркуляторной энцефалопатией на фоне выраженной гипертонии не следует стремиться снизить артериальное давление до нормы (ниже 140/90 мм рт. ст.), так как это может привести к ухудшению кровоснабжения мозга; достаточно снизить его на 10–15% от исходного уровня.
Помимо медикаментозного лечения больным гипертонией необходимо соблюдать простые правила: ограничить употребление поваренной соли (до 5 граммов в день — 0,5 чайной ложки); длительно, практически пожизненно, принимать антиагреганты (лекарства, препятствующие образованию тромбов); принимать витамины и витаминные комплексы, содержащие аскорбиновую кислоту (витамин С), пиридоксин (витамин В6) и никотиновую кислоту (витамин РР).
При дисциркуляторной энцефалопатии, обусловленной атеросклерозом, лечение имеет свои особенности и подразумевает низкокалорийную диету (до 2600–2700 ккал в день) с ограничением животных жиров. При стойких показателях общего холестерина крови (выше 6,2 ммоль/л), сохраняющихся не менее шести месяцев на фоне строгой диеты, назначают препараты, снижающие уровень холестерина (статины).
Для профилактики прогрессирования мультиинфарктных состояний головного мозга применяют комбинированную антиагрегантную и антикоагулянтную терапию. Антикоагулянты (препараты, снижающие свертываемость крови) подбирают в соответствии с показателями свертываемости и протромбина крови и рекомендуют принимать практически пожизненно. При этом необходимо контролировать уровень протромбина крови один раз в две недели. Больные, принимающие антикоагулянты, должны сообщать врачу о любых признаках кровотечения.
Помимо лечения, направленного на устранение причин дисциркуляторной энцефалопатии, больным назначают симптоматическую терапию, направленную на снижение выраженности симптомов. Для профилактики ухудшения памяти и снижения интеллекта применяют средства, улучшающие обмен веществ в мозге. При двигательных нарушениях рекомендуют лечебную гимнастику, массаж и другие методы восстановительной терапии. При головокружениях назначают сосудистые препараты и средства, воздействующие на вегетативную нервную систему.
Нередко дисциркуляторная энцефалопатия проявляется в виде астено-депрессивного синдрома. При его симптомах врачи назначают психотерапию, психологическую помощь, медикаментозную терапию: антидепрессанты, успокаивающие средства. Но в первую очередь следует позаботиться о создании доброжелательной обстановки в семье и на работе. Ведь еще выдающийся врач Средневековья Парацельс отмечал: «Лучшее лекарство от болезней — хорошее расположение духа».
У больных с грубыми сужениями магистральных сосудов головы (свыше 70%) решается вопрос о хирургическом вмешательстве. Под ним подразумеваются три вида операций: стентирование (расширение просвета сосуда с помощью специального каркаса — стента), реконструкция сосудистой системы (соединение различных сосудов между собой, формирование ответвлений) или удаление части сосуда и замена ее на протез.
Для профилактики дисциркуляторной энцефалопатии немаловажное значение имеет здоровый образ жизни: соблюдение режима труда, диета с ограничением поваренной соли, жидкости (до 1–1,2 л в сутки), продуктов, содержащих животные жиры (жирные сорта мяса, печень, сметана, сливочное масло, яйца и др.), и высококалорийной пищи. К высококалорийным продуктам помимо жиров относятся алкоголь и кондитерские изделия. Хорошо, чтобы в рационе преобладали овощи и фрукты. Питаться следует не реже четырех раз в день, распределяя пищу по калорийности следующим образом: завтрак до работы — 30%, второй завтрак — 20%, обед — 40%, ужин — 10%. Ужинать рекомендуется не позднее, чем за два часа до сна. Интервал между ужином и завтраком не должен превышать десяти часов.
Больным необходимо следить за весом, но снижать его следует постепенно. У человека, ведущего малоподвижный образ жизни, энергозатраты составляют в среднем 2000–2500 ккал в сутки. Если женщина снизит калорийность пищи до 1200–1500 ккал, а мужчина до 1500–1800 ккал, то за неделю они похудеют на 0,5–1 кг. Такой темп потери веса считается оптимальным. Хороший профилактический эффект дает увеличение физической активности. Тренировки повышают устойчивость сердечно-сосудистой системы к физическим нагрузкам, что выражается в снижении частоты сердечных сокращений и артериального давления. В результате улучшается настроение, появляется уверенность в своих силах, уменьшаются или вовсе проходят депрессия, страхи, головные боли, головокружение, нарушения сна. Больные становятся физически крепче, выносливее. Значительное улучшение состояния отмечается при проведении занятий 3–4 раза в неделю по 30–45 мин. Однако даже после коротких тренировок (по 15–20 мин) больному становится лучше.
Лечебную физкультуру следует проводить регулярно, с постепенным повышением нагрузки. Интенсивность упражнений рассчитывают, используя показатель максимальной частоты сердечных сокращений (от 220 вычитают возраст больного в годах). Для больных, ведущих малоподвижный образ жизни и не страдающих ишемической болезнью сердца, выбирают такую интенсивность физических упражнений, при которой частота сердечных сокращений составляет 60-75% от максимальной. Разумеется, прежде чем начать заниматься лечебной физкультурой, нужно обязательно проконсультироваться с врачом.
Больным на I-й и II-й стадиях дисциркуляторной энцефалопатии показано санаторно-курортное лечение. Лучше, если это санаторий сердечно-сосудистого типа в привычном климате.
Вовремя диагностированная дисциркуляторная энцефалопатия и правильно подобранное комплексное лечение продлевают активную, полноценную жизнь.
Авторы выражают благодарность сотрудникам ГУ НИИ неврологии РАМН Р.Н. Коновалову, М.А. Кравченко, А.В. Кадыкову за помощь в иллюстрировании статьи.