Ученым удалось разработать уникальный биоинженерный метод ускоренного заживления ран. Они «научили» лактобактерии Lactobacillus reuteri синтезировать хемокин CXCL12, стимулирующий деление и работу макрофагов. Обычно этот хемокин быстро дезактивируется энзимом CD26. Однако повышенная кислотность, которую эти бактерии создают вокруг себя, снижает активность CD26, что приводит к значительному повышению эффективности метода. Эксперименты показывают, что применение нового способа лечения может решить проблему незаживающих ран у больных ишемией и диабетом.
Многим из нас еще с детства знакомы царапины, ссадины и другие повреждения кожи, которые, бывает, заживают довольно долго. Кроме того, что рана уже сама по себе является досадной неприятностью, необходимо следить за ее чистотой, чтобы не занести инфекцию. Пожалуй, никто не отказался бы от волшебного лекарства из сумочки Гермионы, которое полностью заживит рану в считанные секунды и не оставит никаких шрамов. Кстати, шрамы после заживания ран — тоже серьезная проблема, которую пытаются решить исследователи (см.: Регенерация покровных тканей без шрамов возможна у млекопитающих, «Элементы», 01.12.2015). Уже известны многие заживляющие средства, помогающие организму бороться с нарушением кожных покровов (см., например, статью Косметика, которая лечит и новость Клеточный каркас способствует заживлению тканей, «Элементы», 04.05.2005). Они бывают доступными и не очень, у них разная эффективность, но панацеей ни одно из них является.
Способствующее заживлению ран лекарство пригодится многим и особенно тем, кто страдает от многолетних трофических язв, незаживающих порезов и других подобных патологий. Для больных периферической ишемией (сниженным кровообращением в отдельных тканях) и хронической гипергликемией (сахарным диабетом), при которых на коже могут образовываться стойкие плохо заживающие язвы, волшебством уже будет, если их раны будут заживать с нормальной скоростью.
Шаг за шагом ученые приближаются к получению такого чудодейственного средства. Очередной результат на этом пути удалось получить группе исследователей из нескольких научных учреждений Европы во главе с Мией Филлипсон (Mia Phillipson). Они работали с хемокином CXCL12 (chemokine (C-X-C motif) ligand 12, также известный под другим обозначением — SDF-1). Ранее было установлено, что эта сигнальная молекула, способная привлекать к себе клетки иммунной системы и повышать выживаемость клеток, оказывает заживляющее действие на кожные раны (G. Feng et al., 2014. Processing of CXCL12 impedes the recruitment of endothelial progenitor cells in diabetic wound healing) и восстанавливает нормальное кровообращение (M. A. Kuliszewski et al., 2011. Vascular gene transfer of SDF-1 promotes endothelial progenitor cell engraftment and enhances angiogenesis in ischemic muscle).
Но, к сожалению, даже для этих скромных результатов необходимо множество процедур, так как активное вещество в ране постоянно инактивируется. Исследователи наносили CXCL12 на порезы кожи у мышей (на задних лапах). Разовая ежедневная обработка этим веществом не приносила никакого результата. Относительное ускорение заживления раны происходило только, если обработка производилась каждые 10 минут в течение часа — и так каждый день. То есть необходимо постоянное поступление CXCL12, чтобы эффект был заметен.
Это происходит из-за выделения в ране энзима дипептидилпептидазы-4 (CD26), который является поверхностным антигеном и защищает организм от инфекций. Этот энзим может расщеплять очень широкий спектр соединений и в том числе реагирует с хемокином CXCL12, расщепляет и дезактивирует его. Но при наличии средств, предотвращающих проникновение инфекций в рану, CD26 перестает нам помогать и лишь доставляет неприятности. Ранее уже было выяснено, что работа CD26 зависит от кислотности среды (pH). Авторы обсуждаемой статьи обрабатывали раны мышей хемокином CXCL12 в растворах с разной кислотностью (со значениями pH 8,3, 7,3, 6,3 и 5,3). При меньших значениях pH и, соответственно, большей кислотности активность CD26 снижалась, однако наилучшее заживление ран наблюдалось при pH = 6,3.
С помощью генной инженерии они придали бактерии Lactobacillus reuteri способность синтезировать необходимый хемокин. При этом выделение CXCL12 происходит только после искусственной активации бактерии с помощью специального вещества и длится более 10 часов.
Обработка такими бактериями раны один раз в день значительно улучшила заживление кожных порезов у здоровых мышей (рис. 1). Наиболее заметна разница в первые 24 часа, когда в присутствии живых активированных лактобактерий происходит закрытие раны и ее площадь значительно сокращается за счет стягивания краев.
В обработанных ранах исследователи обнаружили ускорение деления клеток кожи, а так же увеличение количества макрофагов и выделяемого ими трансформирующего ростового фактора бета (TGF-β), необходимого для регулирования деления и дифференцировки клеток. Около половины этих макрофагов, судя по наличию маннозного рецептора (MMR), участвуют в ремоделировании кожных покровов. В ране повысилась плотность макрофагов, имеющих рецептор к CXCL12, а кроме того увеличилось количество макрофагов, которые сами синтезировали CXCL12. Роль всех этих макрофагов в заживлении раны пока не совсем ясна, но уже известно, что именно они участвуют в регенерации конечностей у аксолотля (см.: Макрофаг — столп регенерации). Авторы обсуждаемой статьи показали, что у мышей со сниженным количеством макрофагов процесс заживления ран идет с нарушениями и при этом обработка ран исследуемым бактериальным препаратом не приводит к заметным улучшениям. Поэтому можно заключить, что работа нового препарата происходит посредством активации макрофагов разных типов, и именно они участвуют в заживлении раны (рис. 2).

Рис. 2. Схема действия разработанного учеными бактериального препарата при его местном применении на ране. А — продукция лактобактериями хемокина CXCL12 (зеленый) в ране. В — локальное повышение кислотности (желтые пятна на коже), вызванное бактерией. С — улучшение работы хемокина за счет снижения активности разрушающего его энзима CD26 (сиреневый) при повышенной кислотности. D — аккумуляция и деление макрофагов (фиолетовые) с повышением продукции ими ростового фактора TGF-β (синий). Е — в результате предыдущих процессов клетки кожи начинают активно делиться и наблюдается ускоренное закрытие и заживление раны (F). Иллюстрация из дополнительных материалов к обсуждаемой статье в PNAS
У мышей с ишемией задней лапы кровоток нарушен, а заживление раны происходит значительно дольше, чем у здоровых мышей. Обработка раны препаратом с L. reuteri, синтезирующей хемокин, привела к ускорению заживления раны, особенно в первый день после нанесения раны (рис. 3, В). У мышей с гипергликемией, то есть повышенным содержанием глюкозы в крови — основным симптомом сахарного диабета, скорость заживления ран зависит от индивидуальных особенностей организма. Обработка ран препаратом с лактобактериями в среднем ускорила их закрытие в первые два дня, однако позже значимых различий не наблюдалось (рис. 3, С).

Рис. 3. Ускорение заживления ран мышей при обработке лактобактериями, синтезирующими хемокин CXCL12. В каждом ряду на диаграммах отражено количество дней до полного закрытия ран, закрытия раны на 75% и закрытия раны на 50%. А –здоровые мыши, B — мыши с ишемией задней лапы, C –мыши с гипергликемией. Белые столбики — контроль (рана ничем не обрабатывалась), черные — рана ежедневно обрабатывалась лактобактериями, не синтезирующими хемокин, серые — рана ежедневно обрабатывалась синтезирующими CXCL12 лактобактериями в той же концентрации (препарат сразу после активации). Графики из дополнительных материалов к обсуждаемой статье в PNAS
Работа генномодифицированных бактерий так же оказывает воздействие на кровоток вокруг раны. В норме после ранения происходит быстрое сокращение сосудов и на стадии воспалительного процесса наблюдается гиперемия, переполнение этих сосудов кровью из-за их малой проходимости. При ишемии гиперемия вокруг ран не наблюдается, нет ее и у мышей с гликемией, потому что кровоток при этих заболеваниях значительно уменьшен. Обработка ран препаратом с лактобактериями у всех мышей (в том числе и у мышей с гликемией) приводила к нормализации кровотока вокруг раны.
Исследователи проанализировали, какие побочные эффекты могут быть от подобного препарата. Для этого они значительно увеличивали дозировку, но ни при каких условиях не удалось обнаружить в кровотоке ни бактерию L. reuteri, ни производимые ею повышенные количества CXCL12. Тот факт, что препарат не вызывал усиления гиперемии, а даже напротив, снижал ее, свидетельствует о том, что присутствие бактерии в ране не стимулирует никакого дополнительного воспаления.
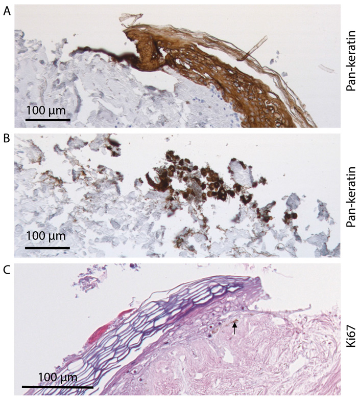
Авторы также произвели первые шаги по проверке работы нового препарата на людях (рис. 4). Они использовали донорскую кожу, оставшуюся после операций. Диски такой кожи можно содержать на питательной среде и они тогда способны некоторое время вести себя как полноценный кожный покров. Оказалось, что раны и на такой коже, если обработать их препаратом с вырабатывающими CXCL12 лактобактериями, заживают быстрее.

Рис. 4. Заживление раны на человеческой коже, содержащейся в виде дисков на питательной среде. А — иммуногистохимическая покраска на кератин (коричневым) нового эпидермального слоя, образующегося по краю раны. В — мигрировавшие к центру раны клетки эпидермиса. С — деление клеток эпидермиса на краю раны (отмечено стрелкой). Иллюстрация из дополнительных материалов к обсуждаемой статье в PNAS
К сожалению, увеличение концентрации бактерий в препарате не дает улучшения результата, и здесь мы, похоже, наталкиваемся на установленный самой природой предел возможностей организма. Однако и полученное ускорение заживления кожных ран на данный момент является наилучшим известным результатом. Это, несомненно, новый шаг в улучшении качества жизни больных ишемией и диабетом. Кроме того, в будущем этот препарат может помочь всем нам: он относительно доступен и может храниться в замороженном виде (исследователи проверили, что эффективность от этого не падает). А само понимание процесса заживления ран и роли разных веществ в нем позволит разрабатывать все новые и новые методы.
Источник: Evelina Vågesjö, Emelie Öhnstedt, Anneleen Mortier, Hava Lofton, Fredrik Huss, Paul Proost, Stefan Roos and Mia Phillipson. Accelerated wound healing in mice by on-site production and delivery of CXCL12 by transformed lactic acid bacteria // PNAS. 2018. DOI: 10.1073/pnas.1716580115.
Алена Сухопутова




Рис. 1. Закрытие кожной раны у здоровых мышей. А — фотографии раны сразу после ее нанесения и через 24 часа в трех группах участвоваших в экспериментах мышей. В контрольной группе (control) раны не обрабатывались, во второй группе (LB) раны обрабатывали один раз в день обычными лактобактериями (не синтезирующими CXCL12), в третьей группе (LB_CXCL12) раны обрабатывали лактобактериями, синтезирующими CXCL12. В — изменение площадей ран со временем. С — площадь раны на второй день эксперимента. D — доля полностью закрывшихся (белые) и не закрывшихся (розовые) ран на 6, 8 и 10 день эксперимента. Иллюстрация из обсуждаемой статьи в PNAS